
发布时间:2016-08-30来源:朱永官研究组
随着工业化及城市化的快速发展,土壤及水体等环境中的重金属污染日趋严重。重金属污染可以诱导细菌对重金属和抗生素等的抗性,这些抗性微生物大多具有潜在的致病性,甚至可能成为“超级细菌”从而危害人类健康。尽管工农业污染地等寡营养环境并不利于病原菌的繁殖和传播,但在被阿米巴等原生动物捕食后,一些病原菌能在其细胞内存活。充满细菌的原生动物细胞便如同一个个特洛伊木马,保护病原菌免受不良环境的胁迫。因此,阿米巴等原生动物在捕食细菌的同时,反而对病原菌的存活和传播起到了促进的作用。 近日,中国科学院城市环境研究所朱永官、Christopher Rensing的合作团队在国际权威微生物学期刊《Molecular Microbiology》在线发表了关于阿米巴原虫铜介导的噬菌机制的研究论文:A role for copper in protozoan predation - two billion years selecting for bacterial copper resistance (DOI: 10.1111/mmi.13483)。该论文的第一作者为郝秀丽博士。该研究成功构建了Dictyostelium discoideum和Paracercomanas crassicauda两套原生动物模型,从一个全新的角度阐述了原生动物对细菌铜抗性基因(簇)的选择作用。研究发现,阿米巴原虫在捕食细菌的过程中,利用Cu(I)攻击被吞噬细菌蛋白中的铁硫簇,同时结合Fenton反应产生高毒性的活性氧簇,杀死胞内细菌。为了抵御原生动物的捕食,细菌进化出一系列铜抗性机制,以抵抗铜的毒害作用,这些抗性系统被认为与病原菌毒力因子密切相关。
重金属污染环境通常被认为是产生重金属抗性细菌的主要选择压力。该研究独辟蹊径,从进化的角度出发,证明除污染环境所产生的选择压力外,阿米巴等原生动物的捕食也是细菌获取及维持重金属抗性基因(簇)的一种重要的选择压力。该研究成果极大的扩展了目前对细菌重金属抗性基因选择及进化过程的认识,所建立的原生动物模型,对评估潜在的环境病原菌具有重要的意义。
该研究得到了中国科学院战略性先导科技专项(XDB15020402, XDB15020302),及中国博士后国际交流项目的资助。

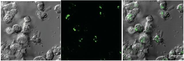
图:阿米巴原虫捕食过程中,吞噬细胞内富积的铜离子激活Cu(I) 生物感应器中报告基因的表达(绿色荧光信号)
附件下载: